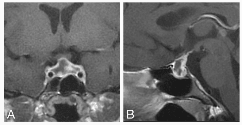
El Síndrome de la Silla Turca Vacía, una afección que puede pasar desapercibida
Los Quistes Aracnoideos son lesiones congénitas, benignas y se forman por fuera del cerebro. No suelen variar de tamaño con el tiempo, y, en general, se diagnostican de manera incidental realizando estudios por causas variadas.
4 Formas de tratar las Varices
. . . Por el Dr. Gregorio De Los Ríos De Frías Especialista en Cirugía Cardiovascular, Endovascular, Vascular Periférico, Torácica, Torácica endoscópica, Cirugía General. Ciudad de Panamá: Tel. 206-2594 / Chitré, Herrera: 6201-3851 La circulación venosa, también conocida como circulación de retorno, está conformada por una amplia red de venas, que tienen como función, llevar […]
Hemorroides: Descubre una nueva técnica quirúrgica e indolora para solucionarlas
Este método consiste en una ligadura selectiva de las arterias hemorroidales guiadas por ultrasonido Doppler más pexia o lifting del tejido prolapsado, para así reducir el flujo sanguíneo a las hemorroides internas.
